Gingivitis is the first stage of gum disease. It’s a common, mild form of periodontal disease. It happens when plaque and bacteria build up on teeth, causing irritation and bleeding.
Knowing what gingivitis is and its symptoms is key to good oral health. If not treated, it can lead to more serious gum diseases. This could even cause tooth loss.
Effective treatment for gingivitis includes professional cleanings and better at-home care. It’s also important to visit the dentist regularly. To keep your mouth healthy, brush twice daily, floss daily, and change your toothbrush every three months.
Good oral care and healthy lifestyle choices are vital. They help prevent gingivitis and keep your gums healthy.
What is Gingivitis
Gingivitis is a common dental problem that causes the gums around the teeth to inflame. It’s important to know about it to keep your mouth healthy. Many people get gingivitis when their hormones change, like during puberty or early adulthood.
Definition and Overview
So, what is gingivitis? It’s often the first sign of gum disease, caused by plaque on teeth. When you brush, you might notice your gums are red, swollen, and bleed. But, it can be fixed with good dental care and hygiene, like brushing twice daily and flossing daily.
If you don’t take care of it, gingivitis can turn into periodontitis, a more serious gum disease that can harm your gums and teeth.
Importance of Understanding Gingivitis
Knowing about gingivitis is very important. About 75% of adults will get it at some point, but many don’t know the risks. Being informed helps you go for regular dental check-ups and get treatment early.
Early detection makes treatment easier and can stop gingivitis from becoming worse. Keeping your mouth clean is key, especially if you smoke or are pregnant.
| Factor | Impact on Gingivitis Risk |
|---|---|
| Smoking | Increases susceptibility to gingivitis and periodontitis |
| Diabetes | Reduces ability to fight infections, elevating gum disease risk |
| Hormonal changes | Periods like puberty and pregnancy heighten risk of gingivitis |
| Poor oral hygiene | Directly leads to plaque build-up, triggering gingivitis |
| Diet | Poor nutrition can weaken the immune system, exacerbating gum issues |
Gingivitis Causes
Knowing what causes gingivitis is key to stopping it. Plaque, a sticky film of bacteria, is a major culprit. It builds up on teeth when we don’t clean them well. Other factors also raise the risk of getting gingivitis.
Plaque Formation and Bacteria
Plaque is the main cause of gingivitis. Bacteria in it produce toxins that inflame gums. If not cleaned, this can lead to gum problems. Keeping teeth clean is crucial to stopping this.
Poor Oral Hygiene Practices
Bad oral care makes gingivitis more likely. Not brushing or flossing enough lets plaque grow. Brushing with fluoride toothpaste and flossing daily can prevent this.
Other Contributing Factors
Many other things can also cause gingivitis:
- Smoking: It makes gum disease worse and can make treatments less effective.
- Hormonal Changes: Hormonal shifts in pregnancy can make gums more inflamed.
- Medications: Some drugs, like anticonvulsants, can make gums swell.
- Nutritional Deficiencies: Not getting enough vitamins and minerals can harm gums.
- Family History: If your family has gum disease, you’re more likely to get it too.
- Aging: Older people’s immune systems are weaker, making them more prone to gum problems.
| Factor | Description | Impact on Gum Health |
|---|---|---|
| Smoking | Increased bacteria and reduced healing capacity | Higher risk of inflammation and treatment complications |
| Hormonal Changes | Hormonal fluctuations during pregnancy | Heightened gum sensitivity and inflammation |
| Nutritional Deficiencies | Lack of vitamins C, D, and calcium | Weakened immune response to bacterial infection |
| Aging | Decreased immune function | Increased susceptibility to gum disease |
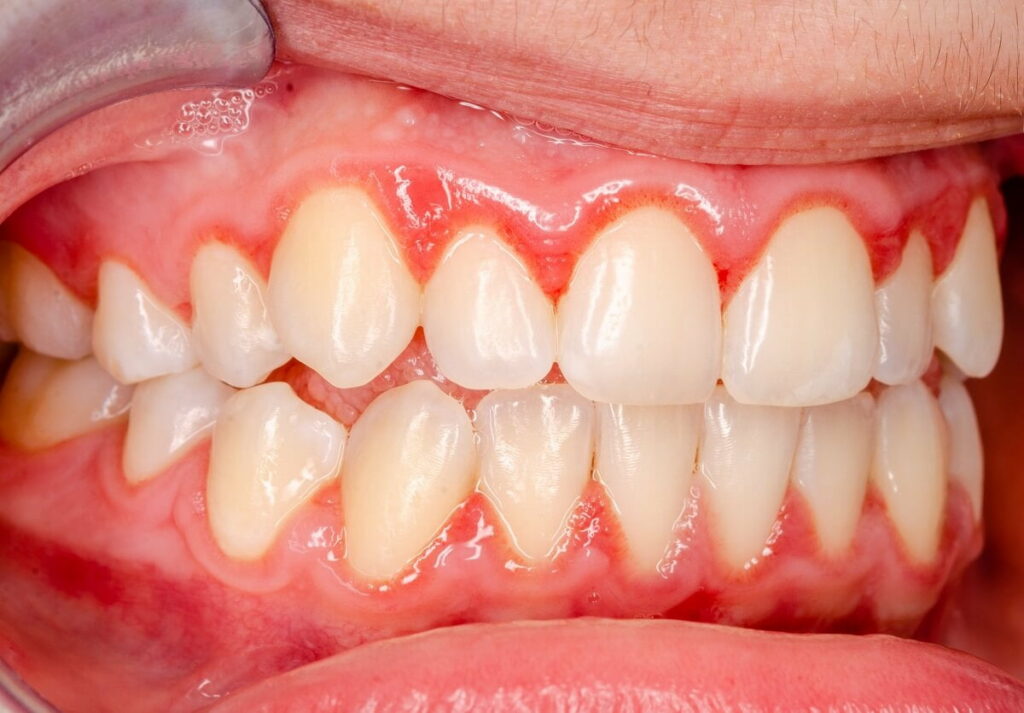
Gingivitis Symptoms
Knowing the signs of gingivitis is key to good oral health. Spotting the common signs of gingivitis early can help treat it and prevent its worsening.
Common Signs to Look For
The first signs of gingivitis are often mild but can worsen if not treated. Look out for these gingivitis symptoms:
- Swollen or puffy gums
- Bright red or dark red gums
- Gums that bleed during brushing or flossing
- Persistent bad breath
- Irritated gums
How Symptoms Progress
Gingivitis can become a more serious gum disease if these signs don’t go away. Without treatment, symptoms like bleeding and receding gums can get worse, leading to tooth loss. About 10% of adults with gum disease don’t know they have it, making regular dental visits crucial.
Good oral hygiene, like brushing and flossing, helps control gingivitis symptoms. Gum disease can worsen if not treated, harming both gums and teeth. Spotting these signs early is key to stopping the disease and keeping your smile healthy.
| Gingivitis Symptoms | You Should Watch For |
|---|---|
| Bleeding Gums | While brushing, flossing, or eating hard foods |
| Puffy and Red Gums | Indicating inflammation in the gum tissue |
| Persistent Bad Breath | Often caused by bacteria in the mouth |
| Receding Gums | Exposing more of the tooth surface |
| Loose Teeth | May occur if gingivitis progresses |
Gingivitis Diagnosis
Diagnosing gingivitis requires a careful approach. A dentist will start by reviewing your dental and medical history. This helps them understand your risk factors and any conditions that might affect your gums.
Dental Examination Procedures
The dentist will look closely at your gums and teeth for signs of inflammation and plaque. They might use a dental probe to measure the space between your gums and teeth. Healthy gums are 1 to 3 millimetres deep. If the depth is more than 4 mm, it could mean you have a more serious gum disease.
Tests and Assessments by Dentists
In some cases, X-rays might be needed to check for bone loss. Regular dental visits and cleanings are crucial for your oral health. These steps help catch gingivitis early and stop it from getting worse.
Dentists can also fix issues like misaligned teeth or crowns that don’t fit right, which helps prevent gum irritation. Thus, dentists play a big role in keeping gums healthy.
Gingivitis Treatment
Reversing gingivitis often starts with a deep clean at the dentist. This is key to removing plaque and tartar that worsen gum inflammation. Scaling and root planing clean the gums deeply, helping them heal. Regular dentist visits, especially for those with gum problems, are crucial.
Professional Cleaning and Maintenance
Dentists use special techniques during cleanings to remove harmful bacteria and plaque. This not only treats current gingivitis but also helps keep gums healthy long-term. After that, they suggest at-home care plans to help maintain gum health.
At-Home Care and Hygiene Practices
Good oral hygiene at home is just as important. Brushing twice a day and flossing daily can cut down plaque. Using mouthwash can kill bacteria and boost gum health. Eating foods rich in vitamin C and omega-3s also helps your mouth.
By following your dentist’s advice and keeping up with dental care at home, you can manage and even reverse gingivitis. This stops it from getting worse and turning into periodontitis.
