5 things to know before saying yes to a long-distance relationship
The pleasurable feeling of being with the one you love, sharply contrasted by the knowledge that that satisfaction and comfort will only be for a while;
Read moreDetailsIfy Davies is a lover of good reads. A thinker. A dreamer. An entrepreneur. An Entertainment blogger. Mail me at ifydaviesng@withinnigeria.com. See full profile on Within Nigeria's TEAM PAGE
The pleasurable feeling of being with the one you love, sharply contrasted by the knowledge that that satisfaction and comfort will only be for a while;
Read moreDetailsPeople cheat for different reasons, the most being, to get something that they're not getting in their current relationship
Read moreDetailsThe likelihood that two people will be happy together in a relationship or marriage is predicated on their ability to find a common ground on many things.
Read moreDetailsInternet fraudsters or scammers are everywhere trying to trick people to give up their money either deliberately or otherwise. You need to understand how to spot them to avoid them.
Read moreDetailsbitter leaf has a bitter taste and it is true that most people can’t withstand it. But remember that the best of medicines comes with a bitter taste; and bitter...
Read moreDetailsThis is another good tip on how to stop excessive sweating.
Read moreDetailsApply a layer of this gel on your underarms and let it sit for about 10-15 minutes.
Read moreDetailsEmenike made the disclosure in an in interview with the the News Agency of Nigeria (NAN) in Abuja.
Read moreDetailsTreating whiteheads is extremely simple, and you don’t have to resort to expensive creams in order to get rid of them.
Read moreDetailsIt is possible to pursue a degree and run after a business and still finish with good grades. You only need to combine your academic pursuit with the right business...
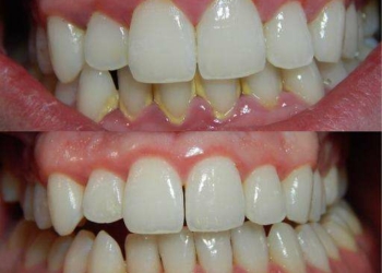
Read moreDetailscaused by the build-up of plaque in and around your teeth. This plaque causes your immune system to respond, and it can lead
Read moreDetailseveryone needs to understand how they view money.
Read moreDetailsIVF is primarily done for women with infertility caused by damaged or blocked fallopian tubes, severe endometriosis, or other unexplained fertility issues, according to the American College of Obstetricians and...
Read moreDetailsAccording to a new clinical trial, guys who ate 60 grams of nuts every day for 14 weeks increased their sperm counts
Read moreDetailsStudies tell us that internet addiction is as dangerous as any other types, but with the proper mindset, attitude, and support system, this is something that can be easily overcome.
Read moreDetails© 2022 WITHIN NIGERIA MEDIA LTD. designed by WebAndName
© 2022 WITHIN NIGERIA MEDIA LTD. designed by WebAndName