Silver diamine fluoride is a new way to prevent cavities from getting worse. It’s a clear liquid that can be applied to teeth, making it great for both kids and adults.
It helps teeth by remineralizing them and stopping bacteria. This makes SDF a big step forward in fighting tooth decay.
Using silver diamine fluoride can keep teeth healthy. The FDA sees its value, calling it a “breakthrough therapy.” It helps avoid the need for fillings, making it a good choice for tooth decay prevention.
Silver Diamine Fluoride for Tooth Decay
Silver diamine fluoride is a liquid that fights tooth decay and boosts oral health. It contains silver and fluoride. The silver fights bacteria, and the fluoride helps teeth stay strong. This makes it a top choice for dental caries treatment.

This treatment stops tooth decay and keeps your mouth healthy. It’s easy to use and doesn’t hurt, making it perfect for anyone wanting to prevent tooth decay.
- Prevents tooth decay and promotes good oral health
- Non-invasive treatment that can be applied quickly and easily
- Effective in fighting dental caries and preventing further decay
In short, silver diamine fluoride is a smart pick for dental caries treatment and decay prevention. Its special mix and easy use make it a top choice for keeping teeth healthy.
The Science Behind SDF’s Cavity-Fighting Power
The silver diamine fluoride application is a top choice for stopping tooth decay. It’s a non-invasive treatment that can stop decay and even fix damaged teeth. Studies show it works 91% of the time after six months, making it a solid tooth decay solution for everyone.
Applying SDF is easy. A special brush applies the solution to the tooth. Then, the tooth is rubbed for a minute to help the solution get in. After that, the tooth is dried, and a light is used to improve the solution. This way, SDF can stop tooth decay and keep your mouth healthy.
Some great things about SDF are that it stops decay very well, it’s easy and doesn’t hurt, it’s cheaper than other treatments, and it can also prevent decay in healthy teeth.
In summary, the silver diamine fluoride application is a great tooth decay solution. It’s effective and easy to use, making it a good choice for anyone looking to keep their teeth healthy.
Who Can Benefit Most from SDF Treatment?
Silver diamine fluoride (SDF) treatment is a great way to stop tooth decay. It helps many people, including those at high risk or who can’t get to the dentist often. It’s good for those who need it most.
Children, older adults with tooth decay, and people with special needs can all benefit. It’s easy and doesn’t hurt, which is great for kids and those scared of the dentist. Plus, it’s fast and doesn’t cost much, usually taking under five minutes.
The following groups can benefit from SDF treatment:
- Children with severe early childhood caries (SECC)
- Elderly patients with limited mobility or recurring decay
- Individuals with special needs or developmental disabilities
- Those who are at high risk of tooth decay or have difficulty accessing regular dental care
Using SDF treatment can stop tooth decay and keep your mouth healthy. It’s much cheaper than other treatments, which is good for those on a tight budget. SDF is a smart choice for a healthy smile with its many benefits and few side effects.
The SDF Application Process: What to Expect
The silver diamine fluoride application is quick and easy—it takes just a few minutes—and perfect for those who are nervous about dental visits. The process starts with cleaning and drying the tooth, then applying a small amount of silver diamine fluoride with a brush. It is absorbed into the tooth for 10 to 60 seconds.
Here’s how it works: first, the room is prepared. Then, the solution is applied. Next, the patient is prepped, and expectations are set. Knowing that SDF can stain teeth is important, so getting consent is key. Showing pictures of possible stains can help patients understand better.
After the treatment, patients should not eat or drink for an hour. This helps the solution stick to the tooth. A follow-up visit is needed in 3-6 months. For the application, you’ll need a mirror, gauze, cotton rolls, and a small brush. It’s also important to connect patients with a dental home and offer oral care and nutrition advice.
Some important things to remember include:
- Apply a fluoride varnish after the SDF dries for a minute
- Don’t use SDF if the pulp is involved in the tooth decay
- Protect soft tissues from staining during the application
Knowing about the SDF application helps patients make better choices for their teeth. It’s a great way to stop tooth decay because it’s easy to use and works well. Silver diamine fluoride is a good option for many people.
Comparing SDF to Traditional Decay Treatments
When considering dental caries treatment options, it’s important to understand the pros and cons. Silver diamine fluoride (SDF) is noninvasive and painless, perfect for those with dental anxiety. It’s also cheaper than traditional treatments, costing about $75 per application.
Cost Differences
SDF is much cheaper than old-school methods. Studies show it can cut costs for kids with mild to moderate decay. This makes SDF great for families without dental insurance or with tight budgets.
Treatment Duration
Getting SDF is fast and takes just a few minutes. This is a big plus over traditional treatments, which take longer and need more visits.
Long-term Effectiveness
Research proves SDF is top-notch at stopping tooth decay and keeping teeth healthy. It works well, with success rates from 54% to 90%. Plus, it can stop decay from getting worse for about six months. This makes SDF a strong ally in the battle against tooth decay.
Potential Side Effects and Considerations
Knowing the possible side effects is key when considering silver diamine fluoride for tooth decay. Sdf treatment is very effective at stopping tooth decay, but some people might experience a few mild, short-term side effects.
Some side effects of sdf treatment include:
- Gum irritation
- Metallic taste
- Low prevalence of gum and tooth pain
These side effects are usually mild and don’t last long. But talking to a dentist or pediatrician about any worries before getting treatment is important.
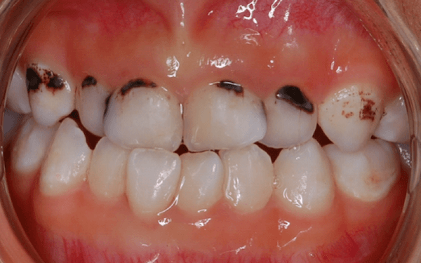
Also, silver diamine fluoride for tooth decay might make some spots turn black. This might be a worry for some, but it means the treatment is working. The stains will likely fade with time.
Success Rates and Clinical Studies
Silver diamine fluoride (SDF) has been extensively studied for stopping tooth decay. The benefits are clear, with studies showing a big drop in decay rates. Research shows SDF can stop about 80% of tooth decay, making it a top choice for decay prevention.
Studies have found no serious side effects in over 3,800 people. Health professionals can apply SDF in under a minute. Plus, it’s very affordable, costing less than $1 per treatment, helping those who can’t afford it.
Some important results from studies are: * A 96.1% success rate in stopping tooth decay and a 70.3% success rate in preventing it * It worked 86% of the time at 6 months, 81% at 12 months, and 78% at 18 months * It prevented 71% of root caries in older adults over 36 months These results show SDF is very good at stopping tooth decay. It could be a big help in the fight against tooth decay.
Insurance Coverage and Treatment Costs
Are you thinking about silver diamine fluoride for tooth decay? Costs and insurance are key. Each treatment costs about $75, or $20–$25 per tooth. Some Medicaid plans now cover it, and more states are adding it to their healthcare plans.
Talk to a dentist or pediatrician before getting SDF treatment. Costs can change based on your insurance and where you live. Insurance coverage plays a big role in the cost. Right now, 37% of Medicaid dental plans pay for SDF. The American Medical Association also approved a new SDF code starting July 1, 2023.
Here are some important points about SDF treatment costs and insurance:
- The average cost of an SDF application is approximately $75 for a single treatment.
- Some Medicaid plans cover SDF treatments, with 37% of state Medicaid dental plans reimbursing the procedure.
- The CPT code D1354 is designated for interim caries arresting medicament application per tooth, which is not brand-name specific.
In summary, while SDF treatment costs are low, consider the total cost and insurance. Talking to a dentist or pediatrician can help you decide if SDF is right.
The Future of Dental Care: Why SDF Is Changing the Game
The future of dental care is changing, and silver diamine fluoride (SDF) is leading this change. It’s a simple, effective, and affordable way to stop tooth decay, making it a game-changer for those at high risk of cavities.
SDF has an 80% success rate in stopping tooth decay. It’s a quick and painless treatment, perfect for kids and those who fear the dentist. It’s a fast solution that doesn’t hurt much.
SDF is also affordable, costing about $75 per application or $20-$25 per tooth. This makes dental care more accessible to everyone, not just the wealthy.
As SDF becomes more common, it will change pediatric dentistry. It stops cavities early, saves healthy teeth, and reduces the need for big procedures. This leads to better oral health in the long run.
Thanks to SDF, the future of dental care looks bright. It shows how far dental care has come. Patients can expect better, more affordable care to keep their teeth healthy.
FAQ
Q: What is silver diamine fluoride (SDF), and how does it work?
A: Silver diamine fluoride (SDF) is a clear liquid that prevents cavities. It combines silver and fluoride. The silver fights bacteria, and the fluoride helps teeth stay strong.
Q: How does the SDF application process work?
A: Applying SDF is easy. First, the tooth is cleaned and dried. Then, a small amount of SDF is brushed onto the cavity. After 10 to 60 seconds, the extra SDF is removed with gauze or cotton.
Q: Who can benefit from SDF treatment?
A: Many people can benefit from SDF, like kids and the elderly. It’s great for those at high risk of tooth decay.
Q: What are the possible side effects and considerations of SDF treatment?
A: SDF might cause gum irritation, a metallic taste, or tooth pain. But these effects are usually mild and short-lived. Always talk to a dentist or pediatrician before getting SDF treatment.
Q: How effective is SDF in preventing tooth decay?
A: Studies show SDF can stop tooth decay in up to 80% of cases. People who have it done are happy with the results, saying it works well and lasts long.
Q: Does insurance cover SDF, and what are the treatment costs?
A: Medicaid might cover SDF, costing about $75 per use. But it’s best to check with a dentist or pediatrician first. Costs can change based on insurance and where you live.

Discussion about this post